-
목디스크 증상 및 좋은 운동카테고리 없음 2024. 12. 28. 14:30
목차
오늘은 많은 현대인들이 한 번쯤 겪어봤거나 고민하고 있는 목디스크에 대해 이야기해보려고 합니다. 스마트폰과 컴퓨터 사용이 늘어나면서 목디스크 증상이 젊은 세대까지 확산되고 있는데요. 목디스크의 증상을 조기에 파악하고 적절히 대처하면 큰 고통을 예방할 수 있습니다. 목 건강을 지키는 데 도움이 될 알찬 정보, 지금부터 함께 알아보아요! 😊






목디스크 증상 목디스크 증상
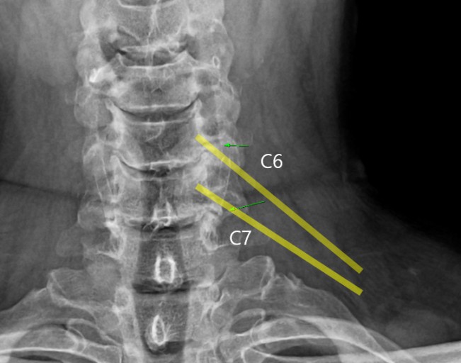
목디스크(경추 추간판 탈출증)는 경추(목뼈) 사이의 디스크가 탈출하거나 변형되어 신경을 압박하는 질환입니다. 이로 인해 다양한 증상이 나타날 수 있으며, 아래에 10가지를 아주 자세히 설명드립니다.
1. 목 통증
- 목 부위에 지속적인 통증이 나타나며, 특히 목을 움직일 때 통증이 심해질 수 있습니다.
- 장시간 스마트폰 사용이나 잘못된 자세로 인해 통증이 악화되는 경우가 많습니다.






목디스크 증상 2. 어깨와 팔의 방사통
- 목에서 시작된 통증이 어깨, 팔, 손으로 이어질 수 있습니다.
- 특정 신경이 눌리면 방사통이 발생하며, 팔의 특정 부위에서 날카로운 통증이나 찌릿한 느낌이 나타납니다.
3. 손의 저림과 감각 이상
- 디스크로 인해 눌린 신경이 손까지 영향을 미쳐 저림 증상이 나타납니다.
- 주로 손가락 끝에서 감각이 둔해지거나 따끔거리는 느낌이 들 수 있으며, 장시간 지속되면 손의 민감도가 떨어질 수 있습니다.






목디스크 증상 4. 팔과 손의 힘 감소
- 목디스크가 진행되면 팔이나 손의 근력이 약해지는 증상이 발생할 수 있습니다.
- 물건을 잡거나 들어 올릴 때 힘이 부족하거나, 손의 악력이 감소하는 느낌이 들 수 있습니다.
5. 목과 어깨의 근육 경직
- 디스크 탈출로 인해 목과 어깨 근육이 긴장 상태를 유지하게 됩니다.
- 근육 경직으로 인해 움직임이 제한되며, 통증과 뻐근함이 동반될 수 있습니다.
6. 두통
- 목 근육의 긴장과 신경 압박으로 인해 두통이 발생할 수 있습니다.
- 특히 후두부나 머리 뒤쪽에서 시작되는 두통이 흔하며, 목 통증과 함께 나타나는 경우가 많습니다.






목디스크 증상 7. 어깨와 등 윗부분의 통증
- 목디스크로 인해 어깨와 등 윗부분에도 통증이 퍼질 수 있습니다.
- 목과 연결된 근육과 신경이 영향을 받아 등 상부에서 만성적인 통증이 느껴질 수 있습니다.
8. 목 움직임 제한
- 목을 돌리거나 숙이는 등의 움직임이 어려워지고, 특정 방향으로 움직일 때 통증이 심해질 수 있습니다.
- 심한 경우, 목을 자유롭게 움직이지 못하고 고정된 자세를 유지하게 됩니다.
9. 이명(귀 울림)
- 경추 신경이 눌리면 귀 신경에도 영향을 미칠 수 있어 이명이 발생할 수 있습니다.
- 귀에서 "윙" 하는 소리나 이상한 울림이 느껴지는 경우가 있습니다.






목디스크 증상 10. 어지럼증
- 목디스크로 인한 신경 압박이 혈류를 방해하면 어지럼증이 동반될 수 있습니다.
- 특히 고개를 갑자기 돌리거나 숙일 때 어지러운 느낌이나 균형 감각의 이상이 나타날 수 있습니다.
목디스크에 좋은 운동
- 목 스트레칭 운동
- 방법:
- 등을 곧게 펴고 앉은 상태에서 목을 천천히 앞, 뒤, 좌우로 움직입니다.
- 각 방향으로 10초간 멈춘 후 돌아옵니다.
- 효과: 긴장된 목 근육을 이완시키고 혈액순환을 촉진합니다.
- 방법:






목디스크 증상 - 턱 당기기(Chin Tuck)
- 방법:
- 등을 펴고 앉아 턱을 살짝 당겨 귀와 어깨가 일직선이 되게 합니다.
- 이 자세를 5초간 유지한 후 천천히 돌아옵니다.
- 10회 반복합니다.
- 효과: 거북목 교정 및 목뼈 정렬 개선에 도움을 줍니다.
- 방법:
- 목 돌리기
- 방법:
- 목을 천천히 시계 방향으로 크게 돌립니다.
- 반대 방향으로도 반복합니다.
- 5회씩 수행합니다.
- 효과: 목 주변 근육의 긴장을 풀어주고 유연성을 향상시킵니다.
- 방법:
- 어깨 들어올리기
- 방법:
- 양쪽 어깨를 귀 쪽으로 들어 올립니다.
- 5초간 유지한 뒤 천천히 내립니다.
- 10회 반복합니다.
- 효과: 목과 어깨 근육의 긴장을 완화시킵니다.
- 방법:
- 천장 바라보기
- 방법:
- 천천히 고개를 뒤로 젖혀 천장을 바라봅니다.
- 5초간 유지한 후 원래 자세로 돌아옵니다.
- 10회 반복합니다.
- 효과: 경추를 늘려 디스크 압박을 완화시킵니다.
- 방법:
- 밴드나 수건을 이용한 저항 운동
- 방법:
- 수건을 목 뒤에 걸친 후 손으로 가볍게 당깁니다.
- 목은 당기는 힘에 반대로 밀어줍니다.
- 5초간 유지한 뒤 힘을 뺍니다.
- 5~10회 반복합니다.
- 효과: 목 근육 강화 및 안정성 향상에 도움을 줍니다.
- 방법:
주의 사항
- 운동 중 통증이 심해지거나 불편하면 즉시 멈추세요.
- 목디스크가 심한 경우에는 전문의와 상담 후 운동을 진행하는 것이 안전합니다.
꾸준한 운동으로 목 건강을 지켜보세요!
오늘은 목디스크의 주요 증상과 이를 조기에 알아차리는 방법에 대해 알아보았습니다. 목디스크는 초기 대처와 꾸준한 관리가 무엇보다 중요합니다. 잘못된 자세와 생활 습관을 고치는 것만으로도 증상 완화에 큰 도움이 될 수 있습니다. 앞으로도 여러분의 건강을 위한 유익한 정보를 전달드리겠습니다. 오늘도 건강하고 활기찬 하루 보내세요! 감사합니다. 🙏